子どもから大人まで、家族で通える「ホームドクター」
歯医者さんは怖いイメージがあると思うのですが、気軽に通える、心地いい歯科医院をめざしています。
患者さんが心を開いて、何でも話せることが一番だと思うので、もし治療の説明などでわからないことがあれば、遠慮なく何でもご相談ください。

-
一般歯科
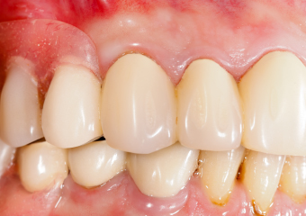
主に虫歯や歯周病の治療を行っています。
歯周病とは歯肉の病気だと思われている方が多くいらっしゃいますが、歯周病とは実は歯を支える顎の骨が溶けて、やがて歯が抜けてしまう恐ろしい病気です。殆ど自覚症状も無く、進行していきます。
最近では歯周炎と糖尿病や脳梗塞、心筋梗塞などの全身疾患との関連性が高いことがわかってきています。
当院では綿密な歯周病検査や丁寧な歯石歯垢の除去のほか、大学病院と連携してより専門的な歯周病治療も行っています。

-
予 防
虫歯や歯周病には、予防に勝る治療法はありません。
そこで当院では歯周検診やお口の徹底的なクリーニングであるPMTC(歯科専門スタッフによるお口の清掃)に力を入れており、歯磨き指導もおこなっております。
当院のスタッフのほとんどが国家資格を有している歯科衛生士であり、専門の目でPMTCなど予防処置を歯科医師と密に連携し行っております。

-
小児歯科
当院ではお子様のペースに合わせた優しく丁寧な小児治療を行っております。0歳で乳歯が生え始め、歯が生え揃う12歳くらいまでにお口の中の環境が劇的に変化していきます。
例えば6歳臼歯は一番最初に生える大人の歯で、歯ブラシが届きにくいこともあり虫歯になりやすい歯です。将来自分の歯で食事をするためにも、子どものうちからの歯科定期検診はとても重要です。
キッズスペースをご用意しておりますので、お子様連れの方も安心してご来院いただけます。
健全な永久歯列を作る事が目標です。そのお役に立てる様、口腔内のしっかりとした土台作りのお手伝いや歯列のチェックをさせて頂きます。

-
部分(限局)矯正
歯並びが悪いと、見た目だけでなく虫歯や歯周病のリスクも高まります。まずはカウンセリングを行い患者さんに合わせた矯正治療のご案内をさせて頂きます。
歯並びを治したい、歯と歯の隙間が気になる方などお気軽にご相談ください。
矯正の種類
① 床矯正
② 固定式矯正(ワイヤー使用)
③ マウスピース矯正(口腔筋機能トレーナー)
④ 口腔筋機能療法(口唇・舌のトレーニング)

-
入れ歯(義歯)
入れ歯が痛くてうまく噛めない、入れ歯が合わなくなってきたというお悩みを持つ患者さんが多いのが現状です。
そこでしっかり噛めて痛みのない入れ歯の作成・調整を行っております。また金具を用いない見た目も目立たない入れ歯も取り扱っております。
説明動画
-
どうして健診が必要なの?
-
よく噛んで食べる
-
口呼吸になっていませんか









